Las oclusiones de la arteria poplítea son comunes. Estas oclusiones son el resultado más frecuente de la enfermedad arterial periférica. Sin embargo, otras posibles etiologías de las oclusiones de la arteria poplítea incluyen la trombosis de un aneurisma poplíteo preexistente (particularmente si hay evidencia de embolización distal), enfermedad adventicia quística, trauma o síndrome de atrapamiento de la arteria poplítea.
La arteria poplítea merece una consideración especial
Una vez que se excluyen otras formas más raras de enfermedad oclusiva poplítea, se pueden considerar las diversas opciones de tratamiento. Se evaluaron la terapia médica, la intervención percutánea y la cirugía vascular. 
Stent de la arteria poplítea
La revascularización percutánea de la arteria poplítea se realiza con precaución por varias razones. En primer lugar, el par y la flexión dentro de la arteria poplítea hacen que la colocación de la endoprótesis sea menos atractiva. Se considera que las endoprótesis vasculares dentro de la arteria poplítea se fracturan y restablecen con mayor frecuencia que otros vasos endoprótesis. En segundo lugar, la arteria poplítea es un sitio de derivación potencial y debe preservarse para este propósito. Esto es especialmente cierto si hay una enfermedad por SFA oclusiva altamente calcificada y de segmento largo en la que una derivación femopoplítea sería útil o una isquemia crítica grave de la extremidad con enfermedad infrapoplítea compleja que podría requerir una derivación desde la arteria poplítea a un vaso más distal.
Superando el pliegue de la arteria poplítea
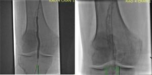
El retorcimiento poplíteo se teoriza como una de las causas de la falla del stent en el espacio poplíteo. En un interesante estudio de 68 pacientes sometidos a angiografía de la arteria poplítea, se identificó un punto de articulación en el 98,6% de los pacientes (Diaz et al. (1), ver figura 1).
Y
Imagen utilizada con permiso del Dr. Chris Metzger, Director de Cardiac and Peripheral Labs en Holston Valley, Kingsport Tennessee. Debido al movimiento intrínseco de la articulación de la rodilla y la generación de un punto de articulación, el uso de PTA solo, los stents autoexpansibles con propiedades de resistencia al aplastamiento y los injertos endovasculares de stent han sido ampliamente estudiados. La tasa promedio de permeabilidad de la arteria poplítea después de la PTA sola es aproximadamente del 47% a los 2 años. Cuanto mayor sea la longitud de la lesión, mayores serán las tasas de reestenosis. (referencia 1, referencia 2, referencia 3).
Varios ensayos de endoprótesis autoexpansibles en las arterias femoral y poplítea demuestran una reducción aproximada del 50% en la reestenosis a los 12 meses en comparación con la PTA sola; particularmente en aquellas lesiones que son TASC A y B (RÁPIDO, RESILIENTE). Desafortunadamente, debido a la flexión del vaso y al aumento de la torsión en el punto de articulación, las fracturas de stent no son infrecuentes y son una limitación actual de la colocación de stent femoral-poplítea; particularmente con los stents de nitinol de tubo ranurado actuales que carecen de suficiente fuerza radial.
En un estudio de detección sistemática de rayos X para las fracturas de stent por Scheinert et al en 2005 (3), se detectaron fracturas de stent en hasta el 37,2% de las piernas tratadas. Las tasas de fractura aumentaron según la longitud del stent utilizado (13% para la longitud del stent <8 cm="" y="" hasta="" el="" 52%="" para="" la="" longitud="" del="" stent=""> 16 cm. En este estudio, la fractura del stent se asoció con un mayor riesgo de reestenosis y oclusión).8>
El estudio ETAP publicado en 2013 fue un estudio aleatorizado prospectivo que comparó la colocación de stent en la arteria poplítea con la angioplastia con balón de la arteria popliteal. En general, los resultados a 12 meses fueron equivalentes. Los autores concluyeron que la angioplastia debería ser preferida para las lesiones de la arteria poplítea, a menos que se considerara necesaria la colocación provisional de un stent durante el procedimiento. Una limitación de este estudio fue que no incluía stents modernos como los stents Zilver-PTX o Supera (ver más abajo).
Otras opciones para la intervención percutánea en la arteria poplítea incluyen la aterectomía (orbital, láser o corte) y viabahn & reg; stents cubiertos. Sin embargo, la aterectomía sola puede dar como resultado disecciones limitantes del flujo que requieren la colocación de stents posteriores. Viabahn & reg; Los stents cubiertos, aunque son una excelente opción para la exclusión de aneurismas poplíteos, carecen de resistencia radial y pueden ocasionar la pérdida de importantes vasos colaterales geniculados.
Supera & reg; Stent para la intervención de la arteria poplítea

Stent supera
Actualmente, el Supera & reg; El stent, un stent de nitinol autoexpansible entrelazado de células cerradas, se ha convertido en uno de los stents más utilizados en la arteria poplítea debido a su mayor fuerza y flexibilidad radial. En el ensayo SUPERB recientemente publicado, IDEV technologies publicó una de las tasas de permeabilidad más altas en los ensayos de stent periférico para las arterias femorales y poplíteas superficiales con un registro de cero fracturas de stent a 1 año.
El estudio SUPERB reclutó a 264 pacientes en 34 centros en todo Estados Unidos, que trataron 266 lesiones con una longitud media de 8 cm. Se incluyeron lesiones de novo o restenóticas en las arterias femoral superficial y poplítea proximal de 40-140 mm de longitud. El 99,6 por ciento de los pacientes cumplió con el objetivo principal de seguridad de no morir, la revascularización de la lesión objetivo (RLT) o cualquier amputación de la extremidad índice a los 30 días posteriores al procedimiento. Basado en el análisis de supervivencia, el stent SUPERA logró liberarse de la pérdida de la permeabilidad primaria en un año del 86 por ciento, la ausencia de TLR del 90 por ciento y cero fracturas de stent notificadas al año.
Referencias seleccionadas
1. José A. Díaz, MD, 2Marisa H. Miceli, MD, 1Miguel Villegas, MD, Gustavo Tamashiro, MD, Alberto Tamashiro, MD. Flexiones de la arteria poplítea: angiografía dinámica. Diciembre 2004. Manejo de enfermedades vasculares.
2. Ilias Karabinos, Giovanni Nano. Angioplastia transluminal percutánea de la arteria poplítea sin el uso de stents. Una revisión de 116 procedimientos consecutivos. Int J Angiol. 2007. 16 (2): 47–49. .
3. Dierk Scheinert, MD; Susanne Scheinert, MD; Jacqueline Sax; Christopher Piorkowski, MD; Sven Bräunlich, MD; Matthias Ulrich, MD; Giancarlo Biamino, MD; Andrej Schmidt, MD. Prevalencia e impacto clínico de las fracturas de stent después de la colocación de stent femoropoplíteos. J Am Coll Cardiol. 2005; 45 (2): 312-315. doi: 10.1016 / j.jacc.2004.11.026.
Etiqueta: Stent de la arteria poplítea, China, proveedores, fabricantes, fábrica, personalizado, OEM











